26.06.2025

Dlaczego afty często nawracają i jak ograniczyć ich częstotliwość?

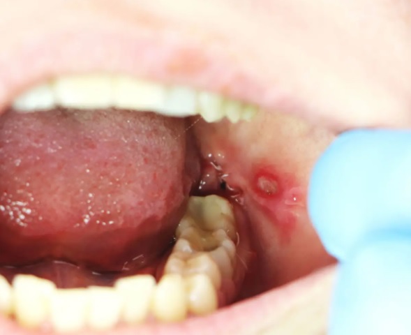
Afty to niewielkie, lecz wyjÄ…tkowo bolesne owrzodzenia pojawiajÄ…ce siÄ™ na bÅ‚onie Å›luzowej jamy ustnej, których nawracajÄ…cy charakter sprawia, że stajÄ… siÄ™ one problemem przewlekÅ‚ym i niezwykle trudnym do caÅ‚kowitego wyeliminowania. U wielu osób pojawienie siÄ™ aft wiąże siÄ™ z ostrym, piekÄ…cym bólem, uniemożliwiajÄ…cym normalne jedzenie, picie czy nawet mówienie, co bezpoÅ›rednio wpÅ‚ywa na codzienny komfort życia. Uciążliwość tej dolegliwoÅ›ci polega także na tym, że niekiedy afty pojawiajÄ… siÄ™ cyklicznie, powracajÄ…c nawet co kilka tygodni i stale przypominajÄ…c o swoim istnieniu. Z czasem mogÄ… prowadzić nie tylko do frustracji, ale nawet do obniżenia nastroju, a u osób zmagajÄ…cych siÄ™ z nimi latami – do przewlekÅ‚ego stresu i rezygnacji z ulubionych potraw. Dlatego tak ważne jest nie tylko leczenie samych zmian, np. poprzez miejscowe stosowanie preparatów takich jak maść na afty (zobacz wiÄ™cej: https://www.chema.rzeszow.pl/strefa-wiedzy/zel-aftident-sposob-na-afty-plesniawki-i-urazy-w-jamie-ustnej), ale także zrozumienie przyczyn ich nawrotów, by móc skutecznie ograniczyć ich wystÄ™powanie i poprawić jakość swojego życia.


Jakie czynniki wywołują nawracające afty?

Pochodzenie nawracajÄ…cych aft jest zÅ‚ożone i wielowymiarowe, a ich pojawianie siÄ™ może być efektem wspóÅ‚dziaÅ‚ania różnych czynników. KluczowÄ… rolÄ™ odgrywa tu stan odpornoÅ›ci organizmu – osÅ‚abienie ukÅ‚adu immunologicznego, wywoÅ‚ane przewlekÅ‚ym stresem, niedoborami witamin czy innymi schorzeniami, otwiera drogÄ™ bakteriom i wirusom do wnikania w bÅ‚onÄ™ Å›luzowÄ…. Zmiany hormonalne, zwÅ‚aszcza u kobiet w trakcie menstruacji, ciąży lub menopauzy, czÄ™sto prowadzÄ… do osÅ‚abienia mechanizmów obronnych Å›luzówki jamy ustnej i sprzyjajÄ… pojawianiu siÄ™ ran. Ogromne znaczenie ma także dieta – niedobór żelaza, witamin z grupy B, kwasu foliowego oraz witaminy C prowadzi do kruchoÅ›ci i Å‚atwej podatnoÅ›ci bÅ‚ony Å›luzowej na urazy. Dodatkowo, u osób z chorobami autoimmunologicznymi (np. zespóÅ‚ Behçeta czy celiakia), afty sÄ… jednym z objawów poważniejszych zaburzeÅ„ odpornoÅ›ci. Mechaniczne urazy, takie jak przygryzanie policzków czy nieprawidÅ‚owa technika szczotkowania, również mogÄ… inicjować proces powstawania aft. Zrozumienie tych mechanizmów jest niezbÄ™dne, by siÄ™gać po wÅ‚aÅ›ciwe dziaÅ‚ania, w tym systematyczne korzystanie z preparatów takich jak maść na afty, które nie tylko Å‚agodzÄ… ból, ale wspierajÄ… regeneracjÄ™ i ograniczajÄ… rozwój nowych zmian.

 


Czy stres rzeczywiście może nasilać występowanie aft?

Stres jest jednym z najbardziej podstÄ™pnych wrogów zdrowia jamy ustnej, a jego dÅ‚ugotrwaÅ‚e dziaÅ‚anie prowadzi do poważnych konsekwencji, takich jak osÅ‚abienie odpornoÅ›ci i zwiÄ™kszona podatność na stany zapalne oraz infekcje. W sytuacjach przewlekÅ‚ego napiÄ™cia organizm produkuje wiÄ™cej kortyzolu, który obniża efektywność ukÅ‚adu immunologicznego i sprawia, że organizm staje siÄ™ mniej odporny na drobnoustroje oraz mikrourazy. Dodatkowo osoby zestresowane czÄ™sto nieÅ›wiadomie zgrzytajÄ… zÄ™bami lub gryzÄ… bÅ‚onÄ™ Å›luzowÄ…, co prowadzi do mikroskopijnych uszkodzeÅ„ i otwiera drogÄ™ do powstawania aft. Co wiÄ™cej, życie w przewlekÅ‚ym stresie wiąże siÄ™ czÄ™sto z gorszÄ… jakoÅ›ciÄ… snu, nieregularnymi posiÅ‚kami i zaniedbywaniem higieny jamy ustnej, co dodatkowo zwiÄ™ksza ryzyko problemów. WÅ‚aÅ›nie dlatego tak ważne jest, aby w momentach dużego napiÄ™cia psychicznego wprowadzać techniki relaksacyjne, takie jak joga, spacery na Å›wieżym powietrzu czy ćwiczenia oddechowe. W przypadku pojawienia siÄ™ bolesnych zmian, szybkie zastosowanie preparatu jak maść na afty przynosi ulgÄ™, a dziÄ™ki wÅ‚aÅ›ciwemu wsparciu można szybciej wrócić do codziennej aktywnoÅ›ci i skutecznie walczyć z nawracajÄ…cym problemem.


W jaki sposób dieta wpÅ‚ywa na nawroty aft?

Sposób odżywiania ma bezpoÅ›redni i wielowymiarowy wpÅ‚yw na kondycjÄ™ jamy ustnej i czÄ™stotliwość nawrotów aft. Dieta uboga w witaminy i mineraÅ‚y, szczególnie żelazo, cynk, kwas foliowy oraz witaminy z grupy B i C, powoduje, że bÅ‚ona Å›luzowa staje siÄ™ delikatna, podatna na uszkodzenia i mniej odporna na dziaÅ‚anie czynników zewnÄ™trznych. Spożywanie bardzo ostrych, kwaÅ›nych lub gorÄ…cych potraw sprzyja podrażnieniom i mikrouszkodzeniom, które mogÄ… przeksztaÅ‚cić siÄ™ w bolesne afty. Z drugiej strony dieta bogata w warzywa, owoce, produkty peÅ‚noziarniste i dobre tÅ‚uszcze pozytywnie wpÅ‚ywa na regeneracjÄ™ Å›luzówki i poprawia jej odporność. W praktyce wiele osób zauważa, że po eliminacji okreÅ›lonych produktów (np. bardzo pikantnych lub zawierajÄ…cych sztuczne dodatki) nawroty aft pojawiajÄ… siÄ™ rzadziej lub majÄ… Å‚agodniejszy przebieg. Warto wiÄ™c prowadzić wÅ‚asny dziennik żywieniowy, obserwować reakcje organizmu i, w razie potrzeby, konsultować siÄ™ z dietetykiem. W momencie pojawienia siÄ™ zmian aftowych, stosowanie maÅ›ci na afty może znaczÄ…co przyspieszyć gojenie i zÅ‚agodzić dolegliwoÅ›ci, ale warto pamiÄ™tać, że to tylko jeden element szerszej strategii, obejmujÄ…cej także mÄ…dre wybory żywieniowe.


Czy maść na afty rzeczywiście pomaga w leczeniu?

Maść na afty odgrywa fundamentalnÄ… rolÄ™ w leczeniu owrzodzeÅ„ jamy ustnej i jest jednym z najczęściej wybieranych preparatów przez osoby cierpiÄ…ce na nawracajÄ…ce afty. Nowoczesne maÅ›ci zawierajÄ… substancje, które jednoczeÅ›nie Å‚agodzÄ… ból, dziaÅ‚ajÄ… przeciwzapalnie i wspierajÄ… proces odbudowy bÅ‚ony Å›luzowej – najczęściej sÄ… to benzydamina, lidokaina, kwas hialuronowy, a także wyciÄ…gi zioÅ‚owe o dziaÅ‚aniu kojÄ…cym. Regularne stosowanie maÅ›ci na afty pozwala skrócić czas trwania dolegliwoÅ›ci, uÅ‚atwia codzienne funkcjonowanie i zapobiega wtórnym zakażeniom. Warto jednak pamiÄ™tać, że skuteczność maÅ›ci zależy od szybkiego wdrożenia leczenia – im wczeÅ›niej naÅ‚ożymy preparat na Å›wieżo pojawiajÄ…cÄ… siÄ™ zmianÄ™, tym wiÄ™ksza szansa na szybkie wygojenie. Ważne jest także przestrzeganie zaleceÅ„ producenta oraz połączenie terapii miejscowej z ogólnÄ… poprawÄ… stylu życia, w tym zadbaniem o dietÄ™, redukcjÄ™ stresu i odpowiedniÄ… higienÄ™. Maść na afty powinna być wiÄ™c elementem kompleksowej strategii radzenia sobie z problemem, a nie jedynÄ… metodÄ… leczenia.

 


Jakie inne metody mogÄ… pomóc ograniczyć nawroty aft?

W leczeniu i profilaktyce nawracajÄ…cych aft bardzo dobrze sprawdzajÄ… siÄ™ także metody naturalne oraz uzupeÅ‚niajÄ…ce. Regularne stosowanie pÅ‚ukanek zioÅ‚owych, zwÅ‚aszcza z rumianku, szaÅ‚wii czy nagietka, może znacznie zmniejszyć stan zapalny i przynieść ulgÄ™ w przypadku bólu. Suplementacja witaminami i mineraÅ‚ami, szczególnie u osób z niedoborami, jest czÄ™sto niezbÄ™dna, aby wzmocnić bÅ‚onÄ™ Å›luzowÄ… i zmniejszyć podatność na urazy. Niezwykle ważne jest także przestrzeganie wÅ‚aÅ›ciwej techniki szczotkowania zÄ™bów oraz unikanie zbyt twardych szczoteczek, które mogÄ… powodować mechaniczne uszkodzenia. Osoby szczególnie narażone na nawracajÄ…ce afty powinny regularnie konsultować siÄ™ z dentystÄ…, który oceni ogólny stan jamy ustnej i wykluczy poważniejsze schorzenia. W przypadku silnych dolegliwoÅ›ci, poza siÄ™ganiem po maść na afty, lekarz może zalecić miejscowe Å›rodki przeciwzapalne, leki immunomodulujÄ…ce czy nawet terapiÄ™ laserowÄ…. Kluczowe jest kompleksowe podejÅ›cie – im wiÄ™cej metod wspierajÄ…cych, tym wiÄ™ksza szansa na ograniczenie nawrotów.


Czy predyspozycje genetyczne majÄ… znaczenie w nawracaniu aft?

WspóÅ‚czesne badania coraz częściej wskazujÄ… na znaczenie genetyki w rozwoju nawracajÄ…cych aft. Okazuje siÄ™, że u osób, w których rodzinie czÄ™sto pojawiajÄ… siÄ™ tego typu zmiany, ryzyko wystÄ…pienia aft jest wyraźnie wyższe. Może to być zwiÄ…zane z indywidualnymi cechami ukÅ‚adu immunologicznego, predyspozycjÄ… do nadmiernych reakcji zapalnych lub szczególnÄ… wrażliwoÅ›ciÄ… bÅ‚ony Å›luzowej. Mimo iż nie mamy wpÅ‚ywu na uwarunkowania genetyczne, możemy w dużym stopniu przeciwdziaÅ‚ać skutkom tych predyspozycji poprzez wÅ‚aÅ›ciwÄ… profilaktykÄ™, dbaÅ‚ość o ogólnÄ… odporność oraz szybkÄ… reakcjÄ™ na pierwsze objawy, np. siÄ™gajÄ…c po maść na afty. Åšwiadomość rodzinnej skÅ‚onnoÅ›ci do aft powinna być dodatkowÄ… motywacjÄ… do prowadzenia zdrowego trybu życia i regularnych kontroli stomatologicznych, aby ewentualne zmiany wyÅ‚apywać jak najwczeÅ›niej i skutecznie z nimi walczyć.


Jak można zmniejszyć ryzyko nawrotów aft w codziennym życiu?

Profilaktyka nawracajÄ…cych aft powinna stać siÄ™ integralnÄ… częściÄ… codziennych nawyków. Kluczowe jest regularne i dokÅ‚adne szczotkowanie zÄ™bów, stosowanie nitki dentystycznej oraz pÅ‚ynów do pÅ‚ukania ust, które pomagajÄ… utrzymać niskÄ… ilość bakterii w jamie ustnej i zapobiegajÄ… powstawaniu stanów zapalnych. Dbanie o zrównoważonÄ… dietÄ™, bogatÄ… w witaminy, mineraÅ‚y oraz przeciwutleniacze, wspiera zdrowie bÅ‚ony Å›luzowej i przyczynia siÄ™ do lepszej regeneracji. Nie mniej ważna jest redukcja stresu, dbanie o odpowiedniÄ… ilość snu i regularne wizyty u dentysty, który może szybko wykryć wszelkie niepokojÄ…ce zmiany i doradzić najlepsze postÄ™powanie. Przy pierwszych oznakach powstawania aft warto siÄ™gnąć po maść na afty, która nie tylko Å‚agodzi ból, ale także przyspiesza gojenie i chroni przed nawrotami. Każdy przypadek jest inny, dlatego warto obserwować wÅ‚asny organizm i indywidualnie dostosowywać dziaÅ‚ania profilaktyczne, aby skutecznie ograniczyć czÄ™stotliwość wystÄ™powania tego uciążliwego problemu.

 


Czy afty przebiegają inaczej u dzieci niż u dorosłych?

Choć afty mogÄ… pojawiać siÄ™ w każdym wieku, ich przebieg oraz czÄ™stotliwość mogÄ… różnić siÄ™ w zależnoÅ›ci od etapu życia. U dzieci afty czÄ™sto pojawiajÄ… siÄ™ po raz pierwszy w wieku przedszkolnym lub wczesnoszkolnym, nierzadko sÄ… wynikiem infekcji wirusowych, urazów czy niedoborów pokarmowych. Zmiany te zazwyczaj majÄ… Å‚agodniejszy charakter, jednak ze wzglÄ™du na wrażliwość dzieciÄ™cej bÅ‚ony Å›luzowej bywajÄ… równie bolesne i powodujÄ… niechęć do jedzenia czy picia. U dorosÅ‚ych afty majÄ… tendencjÄ™ do czÄ™stszych nawrotów, mogÄ… być bardziej przewlekÅ‚e i trudniejsze do wyleczenia, szczególnie jeÅ›li towarzyszÄ… im choroby przewlekÅ‚e lub zaburzenia odpornoÅ›ci. Bez wzglÄ™du na wiek kluczowe jest szybkie wdrożenie odpowiednich dziaÅ‚aÅ„ – zarówno u dzieci, jak i dorosÅ‚ych miejscowa maść na afty przyspiesza gojenie, Å‚agodzi ból i pozwala uniknąć powikÅ‚aÅ„. Rodzice powinni zwracać uwagÄ™ na wszelkie niepokojÄ…ce objawy u swoich dzieci, a osoby dorosÅ‚e regularnie monitorować stan zdrowia jamy ustnej i reagować na wszelkie zmiany.


Jak skutecznie ograniczyć nawroty aft?

Walka z nawracajÄ…cymi aftami wymaga zrozumienia przyczyn problemu i wdrożenia kompleksowej strategii profilaktyczno-leczniczej. Kluczowe jest dbanie o codziennÄ… higienÄ™ jamy ustnej, regularne uzupeÅ‚nianie niedoborów pokarmowych, eliminowanie czynników drażniÄ…cych i szybka reakcja na pierwsze objawy – najczęściej w postaci siÄ™gniÄ™cia po maść na afty. Wspomaganie siÄ™ naturalnymi metodami, redukcja stresu i konsultacje ze specjalistami dajÄ… najwiÄ™kszÄ… szansÄ™ na ograniczenie czÄ™stotliwoÅ›ci nawrotów oraz szybki powrót do peÅ‚nego komfortu życia. DziÄ™ki temu można skutecznie zminimalizować ból, poprawić jakość codziennego funkcjonowania i wreszcie przestać martwić siÄ™ powrotem tej uciążliwej dolegliwoÅ›ci.

autor
Autor artykułu
Sylwia Woźniak

Redaktor treÅ›ci portalu – specjalistka ds. mediów spoÅ‚ecznoÅ›ciowych, content marketingu oraz digital storytellingu.

Udostępnij
Opinie
pełna gwiazdka pełna gwiazdka pełna gwiazdka pełna gwiazdka pełna gwiazdka
Dodaj swojÄ… opiniÄ™:

Opinie na temat artykułu

Åšrednia ocena
pusta gwiazdka pusta gwiazdka pusta gwiazdka pusta gwiazdka pusta gwiazdka
(0)
Inne artykuły:
Jakie ubrania sportowe najlepiej chronią skórę atopową?
Jakie ubrania sportowe najlepiej chronią skórę atopową?
Atopowe zapalenie skóry (AZS) to przewlekÅ‚a choroba dermatologiczna, charakteryzujÄ…ca siÄ™ suchÄ…, swÄ™dzÄ…cÄ… i czÄ™sto zaczerwienionÄ… skórÄ…. Osoby dotkniÄ™te tym schorzeniem muszÄ… być szczególnie ostrożne w doborze ubraÅ„, zwÅ‚aszcza gdy przystÄ™pujÄ… do aktywnoÅ›ci fizycznej. Odpowiednie materiaÅ‚y, krój oraz wÅ‚aÅ›ciwoÅ›ci odzieży sportowej mogÄ… znaczÄ…co wpÅ‚ynąć na komfort i zdrowie skóry. Dlatego wybór odzieży sportowej dla osób z atopowym zapaleniem skóry staje siÄ™ kluczowym elementem nie tylko w kontekÅ›cie aktywnoÅ›ci fizyczno-sportowej, ale też w regularnym codziennym funkcjonowaniu.
Czy pot nasila objawy AZS podczas wysiłku?
Czy pot nasila objawy AZS podczas wysiłku?
Atopowe zapalenie skóry (AZS) to przewlekÅ‚a choroba dermatologiczna, która dotyka wielu osób na caÅ‚ym Å›wiecie, a jej objawy mogÄ… być szczególnie uciążliwe. Istnieje wiele czynników, które mogÄ… wpÅ‚ywać na nasilenie objawów AZS, a jednym z nich jest wysiÅ‚ek fizyczny. W kontekÅ›cie aktywnoÅ›ci fizycznej pytanie, czy pot nasila objawy atopowego zapalenia skóry, staje siÄ™ kluczowe dla wielu pacjentów oraz specjalistów zajmujÄ…cych siÄ™ dermatologiÄ…. Pot, bÄ™dÄ…cy naturalnym produktem wydzielania gruczoÅ‚ów potowych, zawiera wodÄ™, sole mineralne oraz substancje organiczne. Jego wydzielanie w czasie wysiÅ‚ku jest naturalnym mechanizmem termoregulacyjnym organizmu, który ma na celu ochÅ‚odzenie ciaÅ‚a. Jednakże, dla osób cierpiÄ…cych na AZS, pot może być czynnikiem, który nasila dolegliwoÅ›ci skórne.
Jak odpowiednio dbać o skórę atopową podczas biegania?
Jak odpowiednio dbać o skórę atopową podczas biegania?
Bieganie to jedna z najpopularniejszych form aktywnoÅ›ci fizycznej, ale dla osób z atopowym zapaleniem skóry (AZS) może to być niemaÅ‚e wyzwanie. Choć aktywność fizyczna jest korzystna dla zdrowia, to wpÅ‚yw warunków atmosferycznych, potu oraz materiaÅ‚ów odzieżowych może pogorszyć objawy tej choroby. Osoby z atopowym zapaleniem skóry powinny szczególnie dbać o swojÄ… skórÄ™, aby zminimalizować dyskomfort podczas biegania. Niezwykle istotne jest, aby przed każdym treningiem odpowiednio przygotować skórÄ™, uwzglÄ™dniajÄ…c jej specyfikÄ™, nawilżajÄ…c jÄ… i stosujÄ…c wÅ‚aÅ›ciwe techniki ochronne.

Strony w katalogu

Strona www Nobo Restauracja

Nobo Restauracja

lokalizacja Hetmańska 73, 35-078 Rzeszów, lokalizacja +48 787 733 077
Restauracja NOBO wyróżnia się na kulinarnej mapie Rzeszowa jako miejscem, które łączy pasję do sztuki kulinarnej z niezwykłą dbałością o detale. To wyjątkowe wnętrze stwarza niezrównaną atmosferę, w której goście mogą poczuć się jak w domu. W NOBO nowoczesne podejście do kuchni splata się z tradycją, co owocuje innowacyjnymi smakami, które z pewnością zachwycą każde podniebienie. Gościnność oraz serdeczna obsługa sprawiają, że każda wizyta w tej restauracji staje się niezapomnianym przeżyciem. NOBO to idealna przestrzeń do spotkań z bliskimi, gdzie można delektować się nie tylko wybornymi potrawami, ale i miłym towarzystwem w przyjemnym otoczeniu. Smak, styl i gościnność współtworzą niepowtarzalny klimat, który każdy zapamięta na długo. Nie czekaj dłużej! Zapraszamy na naszą stronę internetową, gdzie odkryjesz więcej na temat naszej bogatej oferty oraz aktualnych wydarzeń i promocji. Doświadcz wyjątkowej kulinarnej przygody, jaką oferuje restauracja NOBO!
Ilość odwiedzin: 327
Ilość kliknięć: 2
Ocena: 0
Komentarzy: 0
Data dodania: 13.02.2025
Ostatnia wizyta: 21.02.2026
Strona www Kancelaria Prawna Temida Adwokat Gniewomir Jakubowski

Kancelaria Prawna Temida Adwokat Gniewomir Jakubowski

lokalizacja Generała Jarosława Dąbrowskiego 44, 35-036 Rzeszów, lokalizacja +48 724 474 493
Kancelaria Prawna Temida, zlokalizowana w sercu Rzeszowa, to zespół wykwalifikowanych prawników, którzy specjalizują się w dostarczaniu kompleksowych usług prawnych. Nasza oferta skierowana jest zarówno do klientów indywidualnych, jak i przedsiębiorstw, a każdy przypadek traktujemy z indywidualną uwagą, co pozwala nam na dostosowanie strategii do specyficznych potrzeb naszych klientów. W Kancelarii Temida stawiamy na wysoką jakość świadczonych usług, co czyni nas liderem w branży prawniczej. Nasi prawnicy dysponują rozległą wiedzą oraz doświadczeniem w różnych dziedzinach prawa, co pozwala nam na skuteczne poradnictwo i reprezentowanie klientów w sprawach sądowych oraz przed organami administracyjnymi. Nie boimy się złożonych spraw; wręcz przeciwnie, nasze zaangażowanie w każdą kwestię, niezależnie od jej trudności, jest naszym priorytetem. Oferujemy transparentny proces współpracy i dokładne analizy sytuacji prawnej, które pomagają klientom zrozumieć wszystkie aspekty ich przypadków. Wspólna praca z nami to gwarancja profesjonalizmu oraz rzetelności, na którą możesz liczyć na każdym etapie. Jeżeli potrzebujesz wsparcia prawnego lub chcesz dowiedzieć się więcej o oferowanych przez nas usługach, serdecznie zapraszamy do odwiedzenia naszej strony internetowej. Znajdziesz tam mnóstwo cennych informacji oraz możliwości nawiązania współpracy. Kancelaria Prawna Temida jest tutaj, aby pomóc Ci w każdej potrzebie prawnej!
Ilość odwiedzin: 335
Ilość kliknięć: 1
Ocena: 0
Komentarzy: 0
Data dodania: 12.02.2025
Ostatnia wizyta: 21.02.2026
Strona www Meble włoskie luksusowe

Meble włoskie luksusowe

lokalizacja Józefa Marcika 12, 30-443 Kraków, lokalizacja 600100834
Italmeble.pl to krakowska firma, która z wielkim zaangażowaniem i pasją specjalizuje się w importowaniu oraz sprzedaży luksusowych włoskich mebli. Nasza oferta jest stworzona z myślą o osobach marzących o elegancji i unikalności w swoich wnętrzach, niezależnie od tego, czy chodzi o dom, biuro, czy lokal usługowy. W naszej firmie koncentrujemy się na najwyższej jakości oraz niepowtarzalnej estetyce każdego z proponowanych produktów. Dlatego też każdy mebel, który oferujemy, nie tylko hipnotyzuje swoim wyszukanym designem, ale także zachwyca solidnym wykonaniem, które zapewnia długowieczność i funkcjonalność. Nasz asortyment jest na tyle bogaty, że jesteśmy pewni, że spełni oczekiwania nawet najbardziej wymagających klientów, którzy pragną wnieść do swojego otoczenia odrobinę włoskiej klasy. Zachęcamy do zanurzenia się w naszą ofertę, odwiedzając naszą stronę internetową. Znajdziesz tam pełen przekrój włoskich mebli, które mogą całkowicie odmienić Twoje przestrzenie, dodając im stylu i wyjątkowego charakteru. Nie czekaj – odkryj, jak łatwo można wprowadzić elegancję do swojego życia dzięki Italmeble.pl!
Ilość odwiedzin: 327
Ilość kliknięć: 1
Ocena: 0
Komentarzy: 0
Data dodania: 17.04.2024
Ostatnia wizyta: 21.02.2026
Strona www Uniqmetal Skup Platyny Czechy

Uniqmetal Skup Platyny Czechy

lokalizacja 28. října 205/45, Regus Center,, 70200 Ostrava, lokalizacja +420597010138
Uniqmetal.cz – Twój Wiarygodny Partner w Skupie Platyny w Czechach W samym sercu Ostravy, pod adresem 28. října 205/45, mieści się Uniqmetal – dynamiczna firma, która zdobyła zaufanie wielu klientów dzięki swojej specjalizacji w skupie platyny oraz innych metali szlachetnych i rzadkich. Jako przedsiębiorstwo zarejestrowane pod numerem podatkowym CZ07568398, jesteśmy dostępni pod numerem telefonu +420 597 0101 38, gotowi, aby odpowiedzieć na wszystkie Twoje pytania. Dzięki ponad 15-letniemu doświadczeniu w branży, możemy pochwalić się szeregiem kompetencji, które czynią nas prawdziwymi liderami w zakresie skupu metali. I to nie tylko dla klientów indywidualnych, ale również dla firm, które poszukują niezawodnego partnera do współpracy. Nasze usługi cechuje wysoka jakość oraz profesjonalizm, co sprawia, że jesteśmy w stanie sprostać oczekiwaniom nawet najbardziej wymagających klientów. Wielu z naszych klientów, zarówno z Czech, jak i z różnych zakątków Europy, zdecydowało się na współpracę z nami, doceniając nie tylko naszą solidność, ale także atrakcyjne ceny oraz przejrzystość oferowanych transakcji. Każda współpraca z Uniqmetal jest dostosowywana do specyficznych potrzeb klienta, co sprawia, że niezależnie od rozmiaru Twojej działalności, znajdziesz u nas rozwiązanie dla siebie. Zachęcamy Cię do odwiedzenia naszej strony internetowej www.uniqmetal.cz, gdzie możesz zapoznać się z pełną ofertą naszych usług oraz aktualnymi promocjami. Dołącz do grona zadowolonych klientów Uniqmetal i przekonaj się na własne oczy, dlaczego jesteśmy uznawani za najlepszy wybór w branży skupu platyny i metali szlachetnych!
Ilość odwiedzin: 331
Ilość kliknięć: 0
Ocena: 0
Komentarzy: 0
Data dodania: 06.02.2025
Ostatnia wizyta: 20.02.2026